猫の脾臓にできたリンパ腫または肥満細胞腫がコルディを与えてわずか50日で消失した症例を獣医師の先生から頂いたのでご報告いたします。
目次
脾臓の働きと脾臓に発生する悪性腫瘍
脾臓がどのような働きをしているかピンと来ない方も少なくないと思います。
脾臓は血液や免疫に深くかかわる臓器でその主な働きは以下の通りです。
- 免疫の調整:免疫を司る臓器で、多くのリンパ組織があり免疫を調整しています。
- 血液の再生:古くなったり変形してしまった血液の細胞を壊して新しい血液の材料に換えてます。
- 血液の貯蔵:脾臓には血液を貯蔵する能力があり出血時に貯蔵血を放出し血液の循環量を増やします。
- 造血:造血は主に骨髄で行いますが、うまく造血できない時に脾臓が造血を行うことがあります。
脾臓に発生したしこりの多くは腫瘍病変で、悪性のものが多く、特に血管肉腫が多く発生します。
血管肉腫の他にも悪性リンパ腫や未分化肉腫なども発生します。
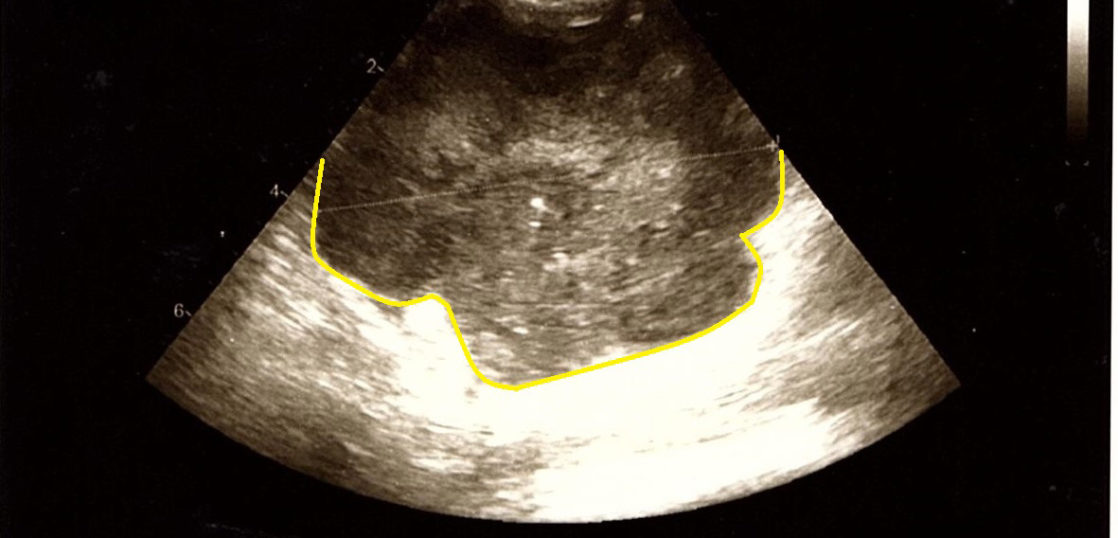
猫の脾臓腫瘍(リンパ腫もしくは肥満細胞腫)が縮小した使用例(エコー画像)
猫(23歳)の肥大した脾臓が縮小した症例です。リンパ腫もしくは肥満細胞腫が疑われています。
獣医師の触診で脾臓にボコッとした腫瘍がありましたが、現在は触れなくなり脾臓表面は滑らかです。(先生コメント)
23歳と高齢の猫だったため体に負担をかける治療は難しいと判断したためコルディで免疫改善し対応する選択をしました。
コルディを服用して約50日という短期間で脾臓の腫瘍が触診で触れなくなり、コルディの効果を実感しました。
画像提供:つつじヶ丘動物病院
コルディ使用前(2013年9月29日)
コルディ使用後(2013年11月16日)
がん治療に免疫対策をプラス
コルディ研究室では動物病院のがん治療に免疫対策としてコルディをプラスすることで、予後が改善する可能性があると考え研究を進めています。
この症例のように短期間で腫瘍が触れなくなることもありますが、現時点で、必ずしも腫瘍が消えなくても元気や食欲が回復しQOL(生活の質)の改善にお役にたてる可能性が有るとの報告を多く頂いております。
ご不明な点がございましたら、お問合せ下さい。
その他のリンパ腫の改善事例
人気の記事
リンパ腫の症例報告
リンパ腫/血管肉腫の関連記事









